知っておきたい加齢黄斑変性―治療と予防―
聖路加国際病院眼科部長・聖路加国際大学臨床教授 大越貴志子
人間は情報の80%を視覚から得ていると言われております。しかし、残念なことに加齢とともに、眼に様々な病気がおき、車の運転、ゴルフ、読書や、手芸などの楽しみが奪われることがあります。なかでも加齢黄斑変性は、高齢者に多い病気で、視力の中心となる黄斑部がやられる厄介な病気のひとつです。
加齢黄斑変性は、欧米では、中途失明の原因疾患の第2位として深刻な病気であることが以前から知られていました。最近日本でも高齢化に伴い、患者数が増加しております。かつては有効な治療に乏しかったこの病気も、最近治療が進歩し、進行をくいとめる、あるいは改善させる可能性が期待されるようになりました。
この小冊子が、加齢黄斑変性を理解するのにすこしでも役に立てば幸いです。
聖路加国際病院眼科部長
聖路加国際大学臨床教授 大越貴志子
加齢黄斑変性とは、老化に伴い、眼の中の網膜というカメラのフィルムにあたる膜の中心に出血やむくみをきたし、視力が低下する病気です。放置すると進行して、視力の回復が不能になってしまう、厄介な病気です。現在視覚障害の原因疾患の4位で、福岡県の久山町で行われた健診結果では発生率が50歳以上の0.87%でした。男性に多く、近年、高齢化社会になるにつれ、その増加が問題になってきております。
- ●眼のしくみと黄斑
- 眼は、カメラにたとえられますが、眼の内側に網膜という、フィルムにあたる膜があります。網膜には、視細胞といって、ものを見るための細胞がぎっしりならんでいます。網膜の中心部は黄斑部とよばれ、特別な構造になっており、細かいものを識別したり、色を見分ける働きをもった部分で、網膜の中では一番大切な場所です。人が視力1.0を得るには、黄斑部が健全でなければなりません。黄斑部が障害されると、周囲は見えても、細かいものの識別ができなくなります。
- 網膜の外側には、脈絡膜という、血管に富んだ膜があります。一般に加齢黄斑変性は黄斑部の後ろの脈絡膜に新生血管という、にわか作りの異常血管が発生し、黄斑部を障害する病気です。
眼のしくみ

加齢黄斑変性の発生のメカ二ズムは、老化によって、黄斑部網膜の老廃物の処理する働きが衰え、黄斑部に老廃物などが沈着し、網膜の細胞や組織に異変をきたすことと考えられております。紫外線による暴露や、喫煙、遺伝、さらに生活習慣も変性への移行を促進していると考えられております。加齢黄斑変性は、欧米人に多く日本人に少ないタイプの萎縮型と、日本人に多い、滲出型に分類されます。
萎縮型加齢黄斑変性は、黄斑部の視細胞がゆっくりやられてゆく病気です。一方滲出型加齢黄斑変性は、突然見えなくなる病気で、進行が速く、治療を躊躇していると、深刻な網膜の障害を残してしまう病気です。
その理由は、滲出型の場合「脈絡膜新生血管」という異常血管が突然発生したり活動化することによります。この新生血管は、とてももろく破れやすく、また漏れやすいため出血や滲出(血液の中の液体の成分が組織にもれること)により網膜の視細胞が障害されます。
正常な状態

滲出型加齢黄斑変性

加齢に伴う白内障は、水晶体再建術という手術があり、治すことができます。しかし、網膜は、たった一枚のカメラのフィルムで、とりかえることはできません。現時点では、網膜の視細胞、すなわち、物を見るための細胞が破壊された場合、再生させる治療はありません。
加齢黄斑変性が深刻な病気である理由は、障害を受けた部分の網膜を再生させることができないことです。しかし、早期に発見できた場合、ある程度進行をくいとめ、被害を最低限度にすることができます。
- ●加齢黄斑変性を発見するには
- 黄斑部の病気は自覚症状が起こりやすく、発見につながる可能性が高いです。自覚症状は病気の進行具合によって異なりますが、初期はものがゆがんで見える、中心が見づらい、視界の真ん中がグレーになってかすむなどの症状が多く、進行すると、真ん中が真っ暗になって見えなくなります。しかし、眼は左右ふたつあるので、片眼にのみ症状が出た場合は、その眼が利き目でない場合には発見が遅れる、あるいは、生活に支障がないという理由で放置されることがあります。日頃から、片目をふさいで、左右のそれぞれの目の見え方を自分でチェックしてください。(裏表紙の「見え方チェックシート」参照)
見え方のイメージ

滲出型加齢黄斑変性になったら、すぐに治療を開始する必要があります。
一方萎縮型加齢黄斑変性は、現時点では有効な治療薬がないので、予防のための生活習慣の改善やサプリメン卜の服用が主体になります。
- ●どんな検査をするの?
- 滲出型加齢黄斑変性が疑われた場合、眼科では、視力検査の他、眼底検査といって、瞳を聞く目薬をさして、眼底、特に黄斑部を詳細に観察します。
- また、蛍光眼底撮影という、蛍光色素を腕の静脈に注射し、写真を撮影する検査を行います。この検査では新生血管の有無や、形、位置を調べ、さらに色素が血管から漏れる様子を調べることにより新生血管の活動性を評価します。
- また、光干渉断層計(OCTスキャン)は、数秒で黄斑部網膜の断層像を得ることができる画期的な機械です。OCTスキャンは短時間で侵襲なくできる検査なので、加齢黄斑変性の診断に有効であるばかりではなく、治療効果を判定する際にとても有用です。
滲出型の蛍光眼底造影

滲出型加齢黄斑変性の治療には、1. 抗血管新生療法、2. 光線力学的療法、3 . レーザー光凝固術、があります。
- 【抗血管新生療法】
- 加齢黄斑変性の原因となる脈絡膜新生血管は、血管内皮増殖因子(VEGF)というたんぱく質によって成長が促進されます。近年この最も重要な原因物質であるVEGFを抑える薬剤が開発されました。この薬剤は、硝子体内注射といって、眼に直接注射します。外来でできる治療ですが、眼を消毒し、清潔な状態で行い、簡単な手術のような治療になります。注射の前に麻酔をしますので痛みはほとんどありません。治療のスケジュールは病状により異なりますが、一般的には、はじめ3回毎月連続で注射を打ちます。その後は必要に応じて注射をする、あるいは、計画的に投与間隔を決めて注射を行ってゆきます。治療効果の出方には個人差がありますので、長期にわたって注射を継続する必要があることもしばしばあります。中断すると、再発し、治療前の状態にもどることもしばしばあります。根気よく治療を続けましょう。
抗血管新生療法

- 【光線力学的療法】
- 抗血管新生療法が承認される以前に一般に行われた治療です。現在は、単独で行うことはほとんどなく、抗血管新生療法と併用で行うことがほとんどです。
光に反応する薬剤(ベルテポルフィン)を体内に注射した後に、病変部に弱いレーザーを当てる治療で、初回治療の後、3ヵ月毎に病状を評価しながら治療を継続します。光感受性物質であるベルテポルフィンは、治療後しばらく体内にとどまりますので、肌に光があたるとやけどのような症状が出ることがあります。このため治療後5日間はなるべく外出を控え、直射日光が肌に触れないよう、帽子や手袋を着用する必要があります。 - 【レーザー光凝固術】
- 脈絡膜新生血管が、中心窩にない場合はレーザーで焼切ることができます。レーザーを照射した部分の網膜の視細胞はやられてしまうので、その部分は見えなくなりますが、新生血管が中心窩に及ぶことを防ぐことができるため、視力が低下することを防ぐことができます。
光線力学的療法

レーザー光凝固術

- ●暮らしの中のこころがけは加齢黄斑変性の予防につながります。
- 禁煙が最も大切です。喫煙は加齢黄斑変性の最大の危険因子です。たばこがやめられない方は、禁煙外来などにかかり、速やかに禁煙しましょう。
- 太陽光などの紫外線は網膜にダメージを与え、加齢黄斑変性になりやすくなります。サングラスで眼を日頃から保護しましょう。
禁煙
紫外線予防

食事のバランス
- 食事のバランスも大切です。
網膜の細胞を障害する活性酸素の悪影響を軽減するための抗酸化ビタミン(ビタミンE、ビタミンC、ベータカロチンなど)を含む食品、ミカン、大豆、玄米、ニンジン、カボチャや、抗酸化酵素を構成するミネラル(亜鉛など)を含む食品(牡蠣や海藻など)を積極的にとりましょう。
緑黄色野菜、とくに黄斑を保護する作用のある色素ルテインを含む、ホウレンソウ、ケール、ブロッコリーも積極的に食べましょう。
またオメガ3脂肪酸を含むイワシ、サンマ、アジなどの赤身の魚も積極的にとるようにしましょう。 - 他には、肥満や高血圧、脂質異常症も危険因子と考えられております。

- ●サプリメントは有効か?
- 加齢黄斑変性の予防のために様々なサプリメントが販売されております。この中には、海外の大規模臨床試験の結果に基づいて有効性が証明されているものもあります。すでに加齢黄斑変性になっている方は反対の眼を守るためにも、医師と相談してサプリメン卜の服用を検討するのも良いと思います。
- まだ発生していない方でも、眼底検査でその徴候がみとめられるような方は、医師と相談してサプリメントを服用するのもひとつの方法です。
加齢黄斑変性は以前と違って、有効な治療や予防が可能な病気に変わりつつあります。
決してあきらめることなしに、予防や治療を積極的に行うことが、老後の生活の改善につながります。
【関連記事もご覧ください】
見え方チェックシート

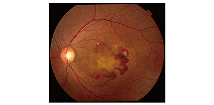
加齢黄斑変性の眼底写真

絵 清水理江
目についての健康情報
- 40歳からはじめたい アイフレイル(目の老化)対策――健康寿命をのばすために
- 40歳を過ぎたら受けよう!!眼底検査 目の健康を守るために
- 防ごう目のトラブル!!コンタクトレンズの眼合併症
- 網膜静脈閉塞症と診断されたら
- 糖尿病網膜症による視力低下―予防と治療― ~運転免許証や仕事を失わないために~
- ぶどう膜炎 なぜ? どうしたらいいの
- 流涙症で困っている方へ
- 気をつけよう!子どもの近視
- 緑内障といわれた方へ―日常生活と心構え―
- 40 歳を過ぎたなら知っておきたい黄斑前膜―診断と治療―
- 眼瞼下垂に悩むかたへ
- 白内障手術と眼内レンズ 眼内レンズを上手に選ぶために
- ドライアイに悩む方へ―生活の注意と治療の目安―
- 知っておきたい加齢黄斑変性―治療と予防―
- 色覚異常といわれたら
- よくわかる緑内障―診断と治療―
- 白内障手術を受ける方へ 知っておきたい白内障術後のケア
- 中高年からのロービジョンケア
- コンタクトレンズと目のお化粧—健康で美しい目を守るには—
- 子どもの目と外傷
- 子どものコンタクトレンズQ&A
- 目の定期検査のすすめ
- パソコンと目
- メガネのかしこい使い方
- 子供が近視といわれたら
- 飛蚊症と網膜剥離 なぜ?どうするの
- 40代で始まる目の老化
- 糖尿病で失明しないために
- コンタクトレンズと感染症
- アレルギー性結膜炎の治療と対策
- 子どもの目の心身症 -心因性視力障害-
- 高血圧性網膜症
- 子どもの弱視・斜視
- 子どもの遠視
- アトピー性皮膚炎と目
- ウイルス性結膜炎
- 屈折異常と眼精疲労
- 花粉症と目
- 遺伝性の目の病気
- ぶどう膜炎
- 白内障と手術
- 赤ちゃんの目の病気
- 黒いものが飛ぶ 飛蚊症
- 角膜の病気




